七歲女童頭痛、耳鳴 竟是罕見自體免疫神經發炎
一名七歲女童先前反覆感冒,之後陸續出現頭痛、耳鳴、嗜睡等症狀,起初沒有明顯發燒,家人原以為只是一般感冒或中耳炎,沒想到病況逐漸加重,不僅走路不穩甚至出現反應變慢、說話變少等異常。花蓮慈濟醫院小兒部兒童神經科主任王傳育警覺病情不單純,安排住院與核磁共振檢查後,診斷為急性散播性腦脊髓炎(ADEM);進一步檢查發現,女童曾有黴漿菌感染,且確認為髓鞘寡突膠細胞醣蛋白抗體相關疾病(MOGAD),研判感染為誘發因素。經及時治療後,女童恢復良好,順利返家休養。
王傳育主任表示,急性散播性腦脊髓炎是一種腦部與脊髓發炎的神經系統疾病,常見症狀包括視力模糊、複視、耳鳴、頭痛、頭暈、步態不穩、抽搐,甚至情緒不穩、躁動、嗜睡、意識改變等,臨床上多半來得又急又重,孩子可能在短時間內出現與平時不同的神經行為表現。
這名女童在2025年11月曾有反覆感冒與中耳炎病史,後來開始頭痛、耳鳴,並出現明顯倦怠與嗜睡,但始終沒有發燒,到神經學檢查當時尚未出現明顯異常;直到今年1月初回到王傳育主任門診追蹤時,已可見小腦與大腦功能異常,包括走路偏向右側、語言表達變差、反應遲鈍、神情呆滯、食慾下降,連拿東西、丟東西都不準確,顯示病情快速惡化。
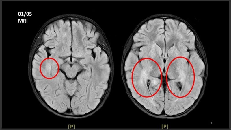
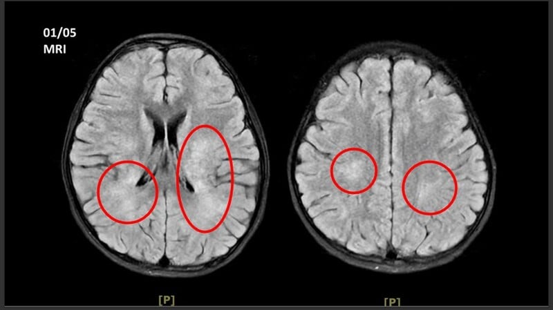
王傳育主任指出,女童當時血壓明顯偏高,心跳也較慢,醫療團隊擔心已有腦壓升高或顱內病變,立即安排住院,並同步給予降低腦壓治療與核磁共振掃描。檢查結果顯示,小腦、視丘及大腦白質、皮質下都可見異常訊號,符合急性散播性腦脊髓炎的影像表現。
由於女童病程已超過兩週,卻沒有發燒,與一般急性病毒性腦炎表現不同,團隊因此提高警覺,除了安排脊髓液檢查,也同步針對細菌、病毒、隱球菌與黴漿菌等感染源進行檢驗,並先行給予抗病毒、抗細菌、抗黴漿菌藥物及類固醇等治療,後續檢驗也確認女童曾有黴漿菌感染。
醫療團隊進一步將血液送往台大醫院檢驗自體免疫抗體,最後證實為MOG抗體陽性相關疾病。王傳育主任說明,MOGAD是一種自體免疫性脫髓鞘疾病,當異常抗體攻擊腦部、視神經或脊髓外層的髓鞘時,就可能造成神經發炎與功能異常。九歲以下兒童較常以ADEM形式表現,較大的孩子或成人則可能出現視神經炎、脊髓炎,甚至肢體麻痺等較嚴重症狀。
所幸這名女童接受類固醇、降腦壓及抗黴漿菌等治療後,第二天症狀就明顯改善,原本連坐姿都不穩、合併眼球震顫的情形快速改善,第三天便轉回一般病房。住院期間也安排復健科介入,協助改善步態與肢體無力問題。前後住院11天後,女童已能穩定行走,順利返家,後續持續復健與門診追蹤。
王傳育主任提醒,若孩子出現持續頭痛、步態不穩、嗜睡、反應遲緩、視力異常或行為改變等神經症狀,即使沒有發燒,也不可輕忽,應儘速就醫。對於確診MOGAD的孩子,平時更要注意感染預防,包括戴口罩、勤洗手、避免群聚,並依醫囑規律服藥與追蹤,以降低復發風險。
